初診の方へ

※痛みがある、またはすぐに処置が必要な歯の治療がある場合は優先します。
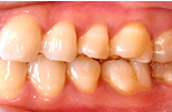
① お口の中の写真を撮影します。
※クリックすると画像が大きくなります
② お口の中のレントゲン写真を撮影します。
(前歯、奥歯、各部分ごとに分けて12枚又は14枚)
※クリックすると画像が大きくなります
③ 歯ぐきの検査(歯周病の検査)
…お口の中の清掃状態や歯周病の進行度がわかります
※クリックすると画像が大きくなります
④ サリバテスト(だ液検査) ※検査料:\3,240(検査前に確認の上で行います。)
…虫歯菌の検査を行います
はじめに
イスにリラックスして腰掛けた状態で、ガムを噛みながら、静かにだ液を出します。
だ液検査①
だ液の量を調べます。
だ液が多く出るほど…
① 口の中の食べ物を早く洗い流します。
② 歯の質を強くします。
③ 抗菌作用がはたらきます。
だ液検査②
だ液の中和力を調べます。
食後の歯がとけやすい環境から、どれくらい早く通常の状態に戻るかがわかります。
(検査用紙が5分後に何色になっているか調べます。)
だ液検査③
むし歯菌の数を調べます。
だ液からむし歯菌を検出し、どんな菌が多いのか調べます。
(検査棒を舌にあてます。)

タナベデンタルクリニック 治療の流れ
- 1回目 お口の中全体の検査又は応急処置 (60分)
- お口の中の写真
お口の中全体のレントゲン写真 (前歯、奥歯など各部分ごとに分けて12枚又は14枚)
歯ぐきの検査(歯周病の検査) (お口の中の清掃状態や歯周病の進行度がわかります)
応急処置 (痛みがある又はすぐに処置が必要な歯の治療がある場合は優先します)
- 2回目(60分)
- サリバテスト 虫歯菌の数や唾液(だえき)の質と量を調べます (\3,240)
プラークの量(磨き残し)の確認 (汚れを赤く染めだします)
歯周病について原因と成り立ちについてのご説明(治療回数も含めて)
歯石除去(クリーニング)と歯ブラシ指導
- 3回目(60分)
- サリバテストの結果説明と虫歯予防についてのご説明
歯石除去(クリーニング)と歯ブラシ指導
- 4回目以降 (45分〜60分)
- SRP 歯ぐきの隙間の深い部分(骨を溶かす原因となる部分)の歯石除去
回数は最初の歯周病の検査で決まります。必要ない患者さんは次のステップへ
- 再評価① (60分)
- 歯周病の治りを確認するために再度歯周病の検査を行います。
歯周病の判定基準より改善された方→虫歯治療へ
まだ改善されていない方→ 改善していない部分の再処置
- 治療
- 詰め物や被せ物の最終処置
- 再評価②
- お口の中の写真(治療前との比較)
歯ぐきの検査 (歯周病の治りを確認)
唾液(だえき)検査 (\3,240) 虫歯菌の改善の確認
- 結果説明
- 最終検査結果のご説明
今後の定期検診プログラムの決定
仕上げクリーニング・フッ素塗布
- 定期検診(メインテナンス)
- 1、2、3〜6か月 (お口の中の状態によって異なります)